Jaiswal Dental Care

Advanced Digital Guided Implantology

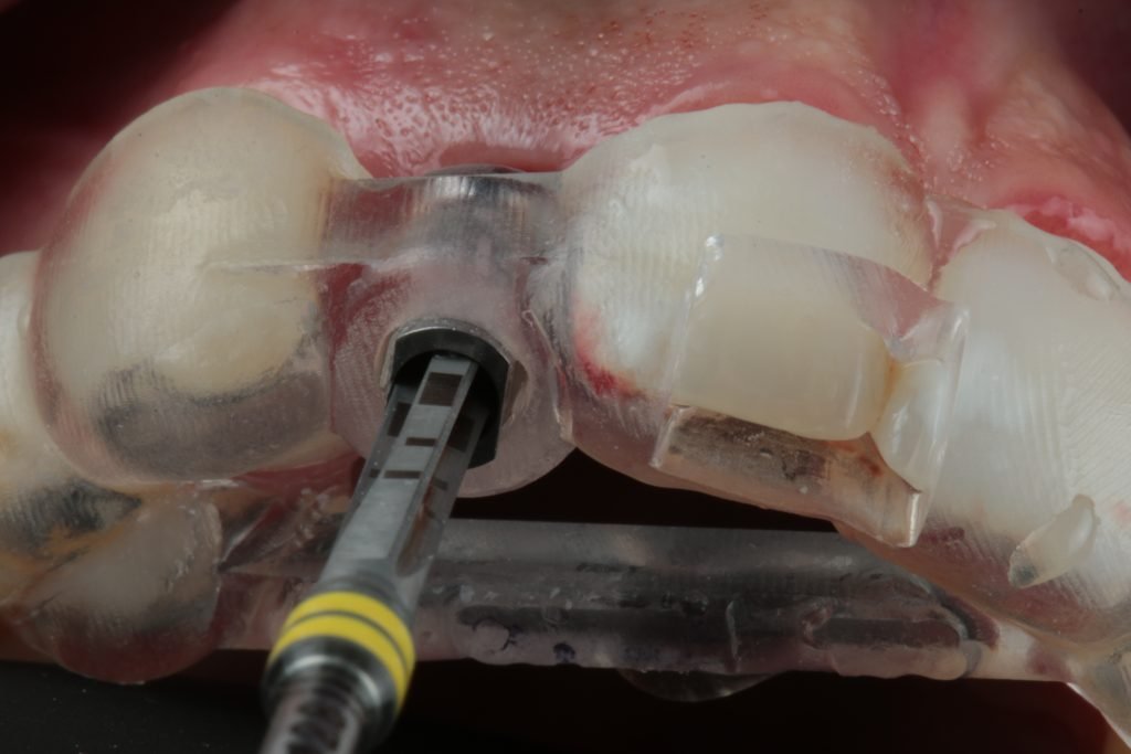
Advanced Digital Guided Implantology is a modern, technology-driven approach to dental implant placement that ensures superior accuracy, safety, and long-lasting results. Using 3D imaging, digital planning, and guided surgical techniques, we deliver predictable and minimally invasive implant treatments tailored to each patient.

Digital Implant Consultation & Follow-Up Care

Our digital implant consultation begins with a comprehensive evaluation using advanced diagnostic tools such as 3D CBCT scans and digital impressions. This allows us to precisely assess bone quality, nerve positioning, and ideal implant placement before treatment begins.

Throughout your implant journey, our team provides continuous follow-up care to monitor healing, ensure implant stability, and maintain long-term oral health. Personalized guidance and digital records ensure a smooth, stress-free experience from start to finish.

Digital Implant Planning Without Delay

With digital guided implantology, treatment planning is faster, more accurate, and highly efficient. Using specialized software, we create a virtual implant plan that determines the exact position, angle, and depth of the implant before surgery.

This advanced planning reduces chair time, minimizes surgical risks, and enhances patient comfort. Guided implant surgery ensures precise placement with minimal discomfort and faster recovery.

Benefit :

STEP

How Our Digital Guided Implant Process Works

Our digital guided implant process follows a systematic, patient-focused approach to deliver safe, predictable, and long-lasting results.

01

Digital Implant Consultation & Assessment

A detailed examination using CBCT scans and digital impressions to evaluate bone structure and plan implant placement accurately.

02

Virtual Treatment Planning & Surgical Guide Design

Using advanced software, a customized digital treatment plan and surgical guide are created for precise implant positioning.

03

Guided Implant Placement Procedure

The implant is placed using a digital surgical guide, ensuring accuracy, minimal tissue trauma, and enhanced safety.

04

Healing, Restoration & Follow-Up

After proper healing, the final crown is placed, followed by routine follow-ups to ensure implant stability and long-term success.

BOOKING

Book Your Dental Appointment Now

Schedule your visit with our dental experts for comfortable, advanced, and reliable care tailored to your smile needs.

Support
Emergency Dental Call
Mon-Sat 11:00 AM – 8:00 PM
Sunday 11:00 PM – 2:00 PM

Book An Appointment

SERVICES

Others Service

Primary & Preventive Care

Nec tristiqu sed rutrum fringilla. it egestas fringilla condimentum purus.

Dental & Oral Health

Nec tristiqu sed rutrum fringilla. it egestas fringilla condimentum purus.

Virtual & Remote Care

Nec tristiqu sed rutrum fringilla. it egestas fringilla condimentum purus.